9 歲童感冒未癒,竟併發眼眶周圍蜂窩性組織炎!醫:當孩子有這幾個症狀,就要提高警覺

小孩感冒別輕忽!有一些致病菌像是葡萄球菌、鏈球菌、嗜血桿菌等,平常會帶原在健康人的鼻腔中,一旦感冒會使細菌增長,進而出現鼻竇炎或眼眶周圍皮膚感染等,導致細菌擴散至眼球周圍構造,引發眼窩蜂窩性組織炎。

感冒未癒竟併發嚴重感染!

九歲男童感冒後,原本已逐漸改善的鼻塞、流鼻涕症狀突然加重,右眼更出現紅腫、疼痛的情形。家屬起初帶他至眼科診所就醫,但病況惡化,右眼腫脹範圍擴大且疼痛加劇,隨即轉往新竹臺大分院急診就醫。
 

新竹臺大分院小兒部許瑋芸醫師診察後發現,男童右眼下眼瞼紅腫並壓痛,範圍超過下眼瞼。進一步抽血檢查顯示白血球數值及發炎指數顯著上升。醫療團隊隨即進行電腦斷層檢查並安排住院,經評估與檢查確診為「隔膜前(眼眶周圍)蜂窩性組織炎」。男童接受靜脈抗生素治療後,病況逐漸改善,後續改以口服抗生素治療,順利出院返家休養,並於門診追蹤,目前已完全康復。

 

許瑋芸醫師解釋,眼球周圍的感染可分為「隔膜前(眼眶周圍)蜂窩性組織炎」及「眼窩蜂窩性組織炎」,兩者皆可能因鼻竇炎惡化或眼眶周圍皮膚感染,導致細菌擴散至眼球周圍構造。
 

其中,「眼窩蜂窩性組織炎」可能引發更嚴重的併發症,如眼窩內膿瘍、海綿竇血栓,進而導致視力受損、腦部感染或血栓形成,甚至有失明或死亡的風險。這類感染最常見的致病菌為葡萄球菌,此外,鏈球菌、嗜血桿菌等亦可能引發感染,須盡快使用靜脈抗生素治療,嚴重時甚至需透過手術引流膿瘍,以防止進一步併發症。
 


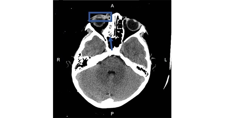
CT影像顯示藍框處為右眼眼瞼發炎腫脹;箭頭處則是右側鼻竇炎。許瑋芸醫師表示,鼻竇炎惡化可能導致眼周感染,家長應留意孩子病況變化,避免延誤治療。(圖片提供/新竹臺大分院)
 

許瑋芸醫師提醒,家長若發現孩子眼瞼出現紅、腫、熱、痛等症狀,應提高警覺。若同時伴隨眼球突出、複視(看東西重影)、視力變差,或轉動眼球時活動受限與疼痛等情況,表示感染可能已波及眼窩,應立即就醫,以免病情惡化,影響視力甚至危及生命。

 

 

首圖:shutterstock

本站提供網路意見交流,以上文章屬作者個人意見,不代表未來親子學習平台立場
成為未來親子 Line好友,看更多教養好文及最新教育資訊喔!


未來親子六星會員超回饋 立即加入

延伸閱讀