男童高燒4天不退、吃抗生素仍沒效!染「會走路的肺炎」;醫提醒:嚴重恐腦炎,有這些症狀快就醫

「肺炎黴漿菌」是社區性肺炎常見致病菌,好發於5歲以上的幼童及青少年,感染初期症狀輕微、類似感冒,容易被忽略,因此又被稱為「會走路的肺炎」。醫師提醒,若未及時治療,可能引發肺部感染、肋膜積水,甚至出現免疫反應,導致腦炎等嚴重併發症。

11歲男童黴漿菌感染,住院仍惡化

日前,11歲的許小弟因高燒四天、咳嗽等不適前往地方診所看診,雖然日常生活及上課都沒有受到影響,但症狀不僅沒有好轉,更是出現胸悶、活力及食慾下降等情況。緊急帶至台北慈濟醫院急診後,經抽血及胸部X光檢查發現,許小弟C反應蛋白(一種發炎指數)偏高,且右下肺葉有感染情形,聽診也發現有囉音及喘鳴,診斷為社區性肺炎,因黴漿菌急性抗體呈現陽性,懷疑為肺炎黴漿菌感染,隨即住院治療。

但病情萬變,經抗生素治療後許小弟仍高燒未退,甚至出現肺炎擴散及肋膜積水的情形。經小兒感染科吳秉昇醫師透過黴漿菌抗生素的調整,當晚許小弟即逐漸退燒,一週後平安出院,後續胸部X光追蹤亦發現右下肺炎及肋膜積水已改善。

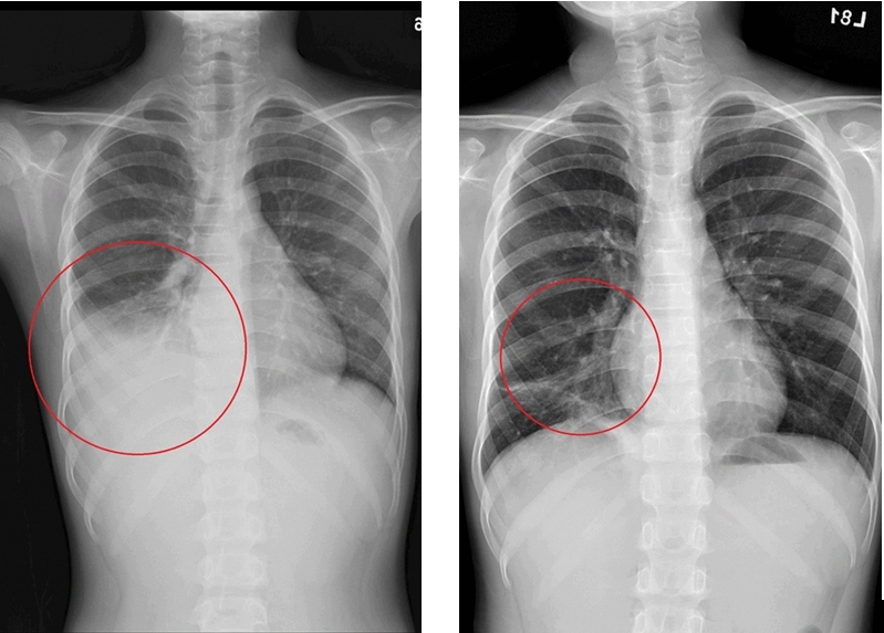
經抗生素治療後,許小弟仍然高燒未退,甚至出現肺炎擴散及肋膜積水的情形(左);
先後使用口服四環黴素及喹諾酮類藥物進行治療,肺部積水也明顯減少(右)。

 

會走路的肺炎! 肺炎黴漿菌感染不可輕忽

肺炎黴漿菌是社區性肺炎常見的致病菌之一,因為常侵犯肺部導致「肺炎黴漿菌肺炎」,所以又簡稱「黴漿菌肺炎」。其傳染方式主要為飛沫傳播,潛伏期通常約2~3週,高峰流行期約落在夏、秋二季,但由於台灣四季並不分明,一年四季皆有感染可能,後疫情時代黴漿菌肺炎病例有增加的趨勢,可能與免疫負債有關。

吳秉昇醫師提到,黴漿菌肺炎通常好發於5歲以上的幼童及青少年,初期以長期咳嗽、喉嚨痛、發燒等症狀表現,之後慢慢出現胸痛及呼吸喘。由於症狀與一般肺炎病菌、流感及新冠病毒感染相似,不容易辨別,需要藉由聽診、抗體篩檢或核酸檢測確認,並配合胸部影像學檢查。由於症狀通常輕微,所以又被稱作「會走路的肺炎」。

然而,這也並不表示能夠輕忽感染,吳秉昇醫師進一步指出,若沒有及時診治,除了造成肺部感染及氣喘惡化外,也有可能引發免疫反應,出現肺外症狀如蕁麻疹、多型性紅斑、口腔及眼結膜潰瘍、甚至併發腦炎,不可不慎。

黴漿菌肺炎以抗生素治療為主,過往多半使用紅黴素,但衛福部疾管署《感染控制雜誌》研究曾指出,台灣兒童感染的黴漿菌已對紅黴素產生6成以上的抗藥性,必要時須改以其他抗生素,如四環黴素或喹諾酮類抗生素治療。以許小弟為例,醫療團隊評估其症狀較為嚴重,且之前曾使用紅黴素治療,可能有紅黴素抗藥的情形,因此先後使用口服四環黴素及喹諾酮類藥物進行治療,發燒才逐漸改善,四天後肺部積水也明顯減少,病況穩定。吳秉昇醫師強調,醫師開立抗生素藥物會考量其年齡與臨床症狀嚴重度,並參考醫療指引進行治療,因此家長應遵從醫囑,按處方開立的劑量與時間讓孩童服用。

 

後疫情時代,民眾配戴口罩的比例有所下降,而黴漿菌肺炎在校園及家庭的傳播力不可小覷,且目前尚無黴漿菌疫苗可接種,因此吳秉昇醫師提醒,戴口罩、勤洗手仍是最直接的預防。家長若發現孩童出現咳嗽、咳痰、呼吸喘、持續高燒不退、食慾活力下降等症狀時,應及時就醫,避免病情惡化。

 

首圖:shutterstock
內文圖:台北慈濟醫院 提供

本站提供網路意見交流,以上文章屬作者個人意見,不代表未來親子學習平台立場
成為未來親子 Line好友,看更多教養好文及最新教育資訊喔!


未來親子六星會員超回饋 立即加入

延伸閱讀