開學健檢,突然超前抽高,千萬不要高興得太早,可能是內分泌失調的表現

有些孩子在小學時3、4年級後突然長高許多成為班上最高的人,爸爸媽媽非常高興,結果可能在國高中後就不再長高,慢慢輸給其他後來居上的同學,漸漸坐到第一排去了,這時候才發現大事不妙就醫,其實幫助已經不大了。

文/陳映庄(小兒科醫師)

現在孩子生少的,父母對於孩子的身高越來越重視,常常遇到爸爸媽媽看診時順便問 :

"我兒子上小學後一直都坐在第一排,會不會一輩子都這麼矮呀?"

"隔壁阿榮跟我兒子一樣大,現在都170公分了,我兒子才150公分,有沒有甚麼問題呢?"

今天就來跟大家討論有關孩子身高的評估,在家裡可以對自己的孩子做個簡單的篩檢唷~

身高主要受到兩個主要因素影響:

 

1. 遺傳 

父母的身高有一定程度會影響孩子的身高,下面提供一個簡易的算法預測孩子的成年預期身高

男: (父親身高 + 母親身高 + 12)  除以2 後 ± 7.5  cm

女: (父親身高 + 母親身高 - 12)   除以2 後 ± 5.5  cm

父母身高越高,男性,基本上會有較高的預期身高但受到後天環境影響,所以會有後面的 ± 範圍出現

 

2. 後天環境

─ 睡眠不足

─ 少運動

─ 營養不均衡

─ 好吃甜食點心等

舉例: (我身高184 + 太太身高 177 + 12)除以 2 =186.5

186.5 + 7.5 = 194

186.5 – 7.5 = 179

我的兒子預期身高約是186.5 cm,運氣好最高約可以到達194cm,但若偏食又每天熬夜打game不睡覺,將來可能只有179cm!

但是有些特殊情況,若未提早發現可能會對身高造成嚴重的影響,請各位家長一定要善用生長曲線圖,只要穩定的在某一曲線上且在18歲的身高和我們上面算出來的預期身高接近,那就不需要擔心。

 

那什麼樣的情況需要找醫師檢查呢?

1. 生長曲線低於第三百分位以下


2. 每年的長高不到4cm或 曲線脫軌低於兩個位階

※ 以上代表可能有生長遲緩的問題,原因非常多,需要去醫院進行詳細評估~

 

3. 曲線突然超前

※ 曲線突然超前抽高,千萬不要高興得太早,可能是內分泌失調的表現,下面介紹常見的原因之一 「 性早熟」

 

【性早熟】  

有些孩子在小學時3、4年級後突然長高許多成為班上最高的人,爸爸媽媽非常高興,結果可能在國高中後就不再長高,慢慢輸給其他後來居上的同學,漸漸坐到第一排去了,這時候才發現大事不妙就醫,其實幫助已經不大,這是性早熟常見的狀況。

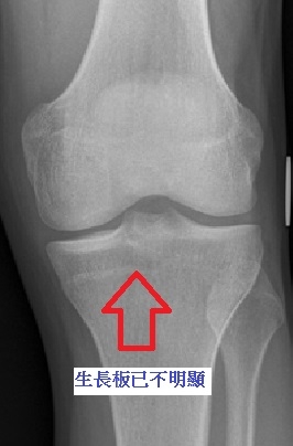
骨骼的拉長主要是看骨頭兩端的生長板存在與否,在生長發育時,這裡的骨骼細胞分裂,使骨頭得以成長,約在青春期結束時,生長板也癒合,此後就不太會再長高。

孩子進入青春期後,受到性賀爾蒙的刺激,會開始出現第二性徵(男::喉結、睪丸增大;女: 乳房發育、月經等),同時也會刺激骨骼生長快速長高,但患有性早熟的病童,因骨頭提早成熟,使生長板過快癒合,換句話說可能本來可以長5-6年,結果3-4年就不長了,因此病童成年後的身高會比預期的矮小。

所以父母們都該注意,如果發現女生在八歲以前有乳房開始發育,出現陰毛、腋毛生長,甚至有月經來潮的現象,或男孩在九歲以前就開始睪丸體積增加、陰莖增大、體毛生長、變聲、時常勃起等,這些都是性早熟的表現,需要尋求醫師診治。

 

結語

平時需要多留意孩子的生長發育情況,不需要羨慕別人突然抽高,只要確認孩子是否在正常預期的生長曲線上,不用給予過多的壓力,不要熬夜、均衡飲食運動,大家都是健健康康快樂長大的孩子~ 

最後附上2張 男女生身高曲線圖 ^^ 給大家參考~



 

全文經作者 陳映庄《小兒科 陳映庄醫師的寶寶快樂園地》授權轉載,原貼文為《我的孩子身高正常嗎?》

更多內容就在「三寶爸-小兒科陳映庄醫師」臉書粉絲頁

 

Photo:aramins, CC Licensed.

數位編輯:王信惠、黃晨宇

本站提供網路意見交流,以上文章屬作者個人意見,不代表未來親子學習平台立場
成為未來親子 Line好友,看更多教養好文及最新教育資訊喔!


未來親子六星會員超回饋 立即加入